Le protesi fisse e mobili
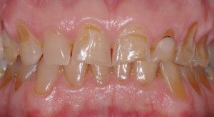
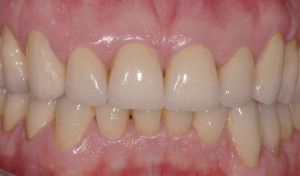
La protesi si occupa della sostituzione o del ripristino di elementi dentali mancanti o gravemente compromessi, per soddisfare le esigenze sia funzionali che estetiche del Paziente.
Si possono distinguere 2 grandi tipologie di protesi dentali:
– la PROTESI FISSA che viene applicata agli elementi pilastro mediante cementazione o mediate viti (come nei dispositivi implantari) rappresenta una riabilitazione definitiva e non necessita di essere rimossa dal paziente;
– la PROTESI MOBILE aderisce alla gengiva o alla dentatura residua direttamente o tramite mezzi di ancoraggio e può essere rimossa dal paziente.
La PROTESI FISSA comprende:
- Corone: protesi per singoli denti dei quali è conservata la radice, che vengono opportunamente preparati. Possono essere realizzate in metal-ceramica, disilicato di litio e zirconio. Lo Studio Mazzilis predilige questi ultimi in quanto ad una elevata resistenza uniscono biocompatibilità, assenza di reazioni allergiche ed elevata mimetizzazione estetica;
- Corone su impianti: ove non sia presente o non sia possibile il recupero della radice naturale del dente, essa viene sostituita dal posizionamento di un impianto endosseo in titanio; su questo, una volta avvenuta una valida integrazione biologica, verrà applicata la corona dentale;
- Ponti: l’elemento dentale mancante viene sostituito da un manufatto con ancoraggio agli elementi vicini. Nello Studio Mazzilis la preparazione di questi (elementi pilastro) avviene con la metodica classica “a moncone”, oppure, per una minore invasività con tecnica “ad intarsio” o “tipo Maryland”;
- Faccette: sottili lamine in composito o in disilicato di litio. Sono una soluzione ottimale per la superficie visibile dei denti anteriori. La preparazione del dente che accoglie la faccetta, con le tecniche più attuali, richiede una minima (talvolta nulla) asportazione dello smalto a cui il manufatto viene cementato. (v. anche ESTETICA).
- Intarsi: ricostruzioni protesiche parziali di una corona dentale gravemente compromessa, particolarmente idonei alla cura dei denti posteriori (premolari o molari). Riportano il dente alla sua forma originaria attraverso la realizzazione di una otturazione indiretta realizzata in composito o in ceramica. Garantisce estrema precisione nella chiusura marginale, ottima durata nel tempo, grande biocompatibilità ed eccezionale resa estetica.
La PROTESI MOBILE
La PROTESI MOBILE che sostituisce una parte o l’intera arcata dentaria e può essere rimossa dal paziente per eseguire le ordinarie manovre di igiene quotidiana. Essa comprende:
- Protesi totale:la perdita completa degli elementi dentali, o la loro irrecuperabilità, in quanto affetti da patologie non curabili, nonché talvolta il fattore economico, portano sia il medico che il paziente ad optare per una soluzione riabilitativa completa mediante protesi ad appoggio mucoso, la cosiddetta “dentiera”. Oggi grazie al perfezionamento delle tecniche ed ai nuovi concetti biomeccanici con l’utilizzo di materiali innovativi, siamo in grado di fornire un buon risultato di stabilita’ e quindi il recupero di una valida funzione masticatoria, soddisfacendo non da ultimo la legittima esigenza estetica del paziente.
- Protesi combinata: se l’area edentula è poco rilevata per scarsità di cresta ossea, o le condizioni anatomiche del paziente non consentono una buona stabilità della protesi totale, è possibile ricorrere alla chirurgia implantare (tramite l’inserimento nell’arcata inferiore di appena due elementi implantari endoossei siamo in grado di creare un solido ancoraggio al manufatto protesico).
- Protesi parziale: la protesizzazione di aree limitate prive di denti può essere realizzata, in questo caso, con il confezionamento di una protesi rimovibile (“scheletrato”) la quale viene ancorata per una buona stabilità ai denti contigui tramite attacchi o ganci in metallo. Possiamo inoltre ovviare alle possibili problematiche estetiche con l’uso di dispositivi in nylon che presentano il vantaggio di essere flessibili, biocompatibili e ottimamente mimetizzati.






