La conservativa
La conservativa si occupa del restauro, per forma e funzioni, di denti compromessi per cause congenite (discromie o anomalie di forma) e/o acquisite (carie o traumi).
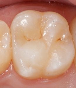
Attualmente le tecniche di restauro hanno abbandonato l’oro e l’amalgama d’argento e si avvalgono di materiali come le resine composite e la ceramica, che non sono nocive, sono durature, hanno la stessa durezza del dente ed un’ottima integrazione estetica.
L’approccio medico
L’approccio medico con cui il nostro Studio opera in questo settore è volto a:
- conservare quanto più possibile la struttura biologica del dente e la vitalità;
- limitare gli interventi demolitivi a carico dell’elemento interessato e, qualora necessario, di quelli prossimali;
- adottare soluzioni durature e nel contempo idonee a ricostruire, restaurandolo, l’aspetto originale del dente con un intervento quanto più mimetico possibile: siamo soddisfatti quando, a cura completata, il dente restaurato è indistinguibile e armonioso!






